

108-15157 56th Ave (Hwy 10) Surrey, BC, V3S 9A5, Canada
There is no better time than now to get a Straighter, Healthier Smile with COMPLIMENTARY Services.
This Special Includes:
$4297 Invisalign Treatment ($1500 Value)
Complimentary Teeth Whitening Kit After Treatment ($300 Value)
Complimentary Oral Exam ($180 Value)
Complimentary 3D Digital Scan ($200 Value)
Complimentary Treatment Plan Preparation ($70 value)
Flexible Payment Plans (Priceless)
Schedule Your Invisalign Complimentary Consultation
***LIMITED to the First 12 People Who Schedule***
100% Secure & Private - Your Information Is Safe With Us
Invisalign is a system that will give you beautiful, straight teeth without the discomfort and appearance of traditional braces. Customized plastic trays, called aligners, gently bring your teeth into their correct alignment. Invisalign can correct any problem that traditional braces can fix, from crooked teeth to problems with your bite.
Transparent aligners make it almost unnoticeable you are wearing them
Less food restrictions as it is easy, convenient to remove beforehand
Easy to wash and care for for best hygiene practices
Avoiding injury to your gums or jaw during physical activities and sports
No need to come in for frequent appointments to adjust them
The average treatment plan lasts for about twelve months





Dr. Claire Wang obtained her Bachelor of Science degree with Honours in Biochemistry at University of British Columbia. She then earned her Doctor of Dental Surgery at University of Western Ontario, and graduated with Dean’s Honours. Dr. Wang provides full service family dentistry for patients of all ages. She has a warm, caring and gentle personality which puts children and anxious patients at ease. She understands the importance of open communication and is always driven to deliver the highest quality of care.
Dr. Wang keeps up her skills by spending countless hours in continuous education. She has obtained Associate Fellowship at World Clinical Laser Institute, and she is certified in conscious sedation and is a Preferred Provider of Invisalign. Dr. Wang is also a part time clinical instructor at the UBC Faculty of Dentistry.
Besides English, Dr. Wang also speaks Mandarin. Outside of dentistry, she enjoys spending time with her husband and their two lovely daughters.
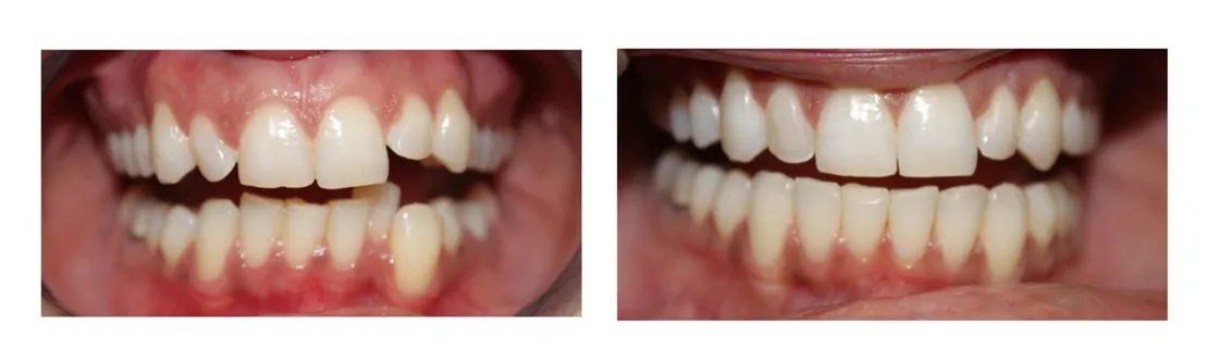
Read about our patients' transformation stories.

Get Your Invisalign Voucher
Reserve your spot by clicking the button below and put in your info for the voucher.

Choose Your Appointment
Call us and mention the coupon code on the next page to book your FREE Consultation.

Show Up To The FREE Consultation
We cannot reschedule your appointment if you don't show up so please choose a time that works the best for you!